Dental implant treatment has transformed smiles worldwide, offering a permanent solution to missing teeth. While the procedure has evolved significantly, precise planning remains the key to success. One revolutionary tool has emerged in modern dentistry: 3D dental imaging, particularly cone beam computed tomography (CBCT). This technology allows dentists to visualize the patient’s oral structures in three dimensions, enhancing accuracy, safety, and predictability in implant procedures. To learn more about dental implants in general, visit Want Teeth – Dental Implants.
Understanding 3D Dental Imaging and CBCT
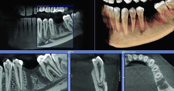
Traditional dental X-rays provide a two-dimensional view of the teeth and jaw, which often limits the dentist’s ability to assess critical details. In contrast, CBCT captures detailed 3D images of the entire oral cavity, including teeth, bone, nerves, and sinus cavities. This advanced imaging produces a comprehensive map, enabling dentists to plan implants with exceptional precision.
How CBCT Works
CBCT scanners rotate around the patient’s head, capturing hundreds of images in a single scan. These images combine to create a three-dimensional digital model. Unlike conventional CT scans, CBCT uses a lower radiation dose, making it safer for dental applications while still providing high-resolution images crucial for implant planning.
Key Advantages of CBCT in Implant Dentistry
- Enhanced Accuracy: CBCT allows dentists to measure bone density, height, and width precisely, ensuring implants are placed in the optimal position.
- Risk Reduction: The 3D view helps identify nearby nerves, blood vessels, and sinus cavities, reducing the risk of surgical complications.
- Predictable Outcomes: By visualizing the anatomy in three dimensions, dentists can predict potential challenges and plan accordingly, leading to higher success rates.
- Custom Implant Design: CBCT data can guide the creation of custom surgical guides, allowing implants to match the patient’s unique anatomy. Learn more about implant surgery at Want Teeth – Dental Implant Surgery.
- Patient Education: Patients can see their own 3D scans, improving understanding and confidence in the treatment plan.
Why Precision Matters in Implant Treatment
Dental implants integrate directly with the jawbone through a process called osseointegration. Successful integration requires precise implant placement, which depends on accurate assessment of bone quality and anatomy. Even small deviations can compromise stability, cause nerve injury, or affect the final appearance of the restoration. CBCT provides the level of detail needed to make informed decisions, ensuring long-term success.
Assessing Bone Quality and Quantity
CBCT allows dentists to evaluate bone density in multiple dimensions. Some patients may require bone grafts before implants if their jawbone lacks sufficient volume. The 3D imaging helps determine the size, type, and placement of grafts, which enhances the chances of successful implant integration. For detailed guidance on different implant types, check Want Teeth – Types of Dental Implants.
Identifying Critical Structures
Every patient’s anatomy differs. Nerves, blood vessels, and sinus cavities may occupy areas where implants need placement. CBCT scans reveal the exact location of these structures, allowing the dentist to avoid them and prevent complications such as nerve damage or sinus perforation.
Planning the Implant Procedure with CBCT
CBCT is not just a diagnostic tool; it actively guides the treatment process. Dentists can use the scans to simulate implant placement digitally. This virtual planning ensures precise alignment, correct angulation, and optimal depth, reducing surgical guesswork. You can explore how implants work at Want Teeth – How Dental Implants Work.
Creating Surgical Guides
With CBCT data, dentists can design surgical guides—custom templates that direct the drill during surgery. These guides ensure implants are positioned exactly according to the digital plan. This approach minimizes errors, shortens surgery time, and promotes faster healing.
Case Study: Implant Placement with CBCT Guidance
Consider a patient missing a molar in the upper jaw. Traditional X-rays might not show the proximity of the sinus cavity. A CBCT scan reveals that the sinus extends slightly into the area, prompting the dentist to perform a sinus lift before implant placement. The surgery proceeds smoothly, avoiding complications and resulting in a well-integrated implant.
Enhancing Patient Communication and Confidence
Patients often feel anxious about dental surgery. CBCT scans allow dentists to explain the procedure clearly, showing 3D visuals of the jaw and implant position. Patients can see exactly where the implant will go, understand why certain steps are necessary, and feel more confident in the outcome. To schedule a consultation, visit Want Teeth – Book an Appointment.
CBCT vs. Traditional 2D Imaging
While traditional X-rays still have a role in dental care, CBCT surpasses them in implant planning. Two-dimensional images cannot capture depth or detect overlapping structures. CBCT eliminates guesswork by providing an accurate 3D map of the patient’s oral anatomy.
Comparative Advantages
- 3D Visualization: Unlike flat X-rays, CBCT shows spatial relationships between teeth, bone, and nerves.
- Precision Measurements: CBCT enables precise measurement of bone height, width, and density for optimal implant selection.
- Reduced Surgical Risks: Detects anatomical variations, preventing potential complications during implant surgery.
Conclusion
3D dental imaging, particularly CBCT, has revolutionized implant dentistry. By providing a detailed, three-dimensional view of the oral cavity, it enhances precision, reduces risk, and improves patient outcomes. From accurate assessment of bone structure to custom surgical guides, CBCT equips dentists to perform implants with confidence and predictability. For patients seeking dental implants, CBCT ensures the treatment is safe, effective, and tailored to their unique anatomy, transforming smiles and restoring function with unmatched precision.
Investing in CBCT-guided implant treatment means choosing accuracy, safety, and long-term success. As dental technology continues to evolve, 3D imaging remains a cornerstone in achieving exceptional results and confident, healthy smiles. To learn more about the clinic and their services, visit Want Teeth – About Us.
© 2026 Advanced Dental Insights. All Rights Reserved.

